بیماری پریودنتال چیست؟
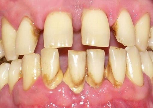
امیرحسین پورفرید دندانپزشک درباره بیماری پریودنتال اظهار داشت: این بیماری که با لثههای فرد ارتباط دارد در اثر عدم رعایت بهداشت دهان و دندان ایجاد میشود.
وی اضافه کرد: در اثر پیشرفت این بیماری بافت نرم لثه و استخوان زیر آن درگیر شده و به مرور زمان سبب تخریب آن میشود.
به گزارش میهن فال به نقل از باشگاه خبرنگاران، این دندانپزشک عنوان کرد: در افراد سیگاری این بیماری بیشتر ظاهر میشود، زیرا استعمال سیگار بهداشت دهان و دندان فرد را تحت تاثیر قرار داده و بافت لثههای فرد را دچار بیماری پریو دنتال میکند.
وی بیان کرد: برخی بیماریها که عامل ژنتیکی داشته و برخی بیماریهای هورمونی نیز میتواند باعث ایجاد این بیماری در لثهها شود.
پور فرید در خصوص علائم بیماری پریودنتال گفت: بوی بد دهان، حساسیت دندانها، خونریزیهای مقطعی از لثهها و متورم شدن آنها از مهمترین علائم بیماری پریودنتال است.
وی درباره مراحل درمانی این بیماری اظهار داشت: درمان بیماری پریودنتال باتوجه به مرحله بیماری متفاوت است، معولا در مراحل اولیه بیماری با بیمار جرمگیری و آموزش بهداشت دهان و دندان بیماری متوقف میشود اما برای مراحل پیشرفته تر بیماری حتی ممکن است دندان ها را نیز تخریب شود و بیمار به جراحی نیاز پیدا کند.
این دندانپزشک عنوان کرد: بیماری پریودنتال سن خاصی ندارد و هر فردی که بهداشت دهان و دندان خود را به درستی رعایت نکند، این بیماری لثههای وی را درگیر میکند و حتی در مراحل پیشرفتهتر موجب تخریب دندانهای وی میشود.
وی تاکید کرد: گاهی در جراحی دندان عقل در صورتی که اصول بهداشتی رعایت نشود ممکن است عفونت ناشی از جراحی سبب ایجاد این بیماری شود.
